【有声病例】后交叉韧带断裂
2018-04-16 16:45:45
影像病例【3】




后交叉韧带断裂
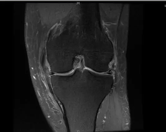
从此片可以看出后交叉韧带连续性中断,松弛,增粗,下止点信号增高比较明显,从这个角度看后交叉韧带上止点信号较为正常,但下止点信号明显增高,缺乏韧带止点应有的形态,从这个层面看下止点信号增高,从这个层面看韧带是增粗的,整体信号增高,质地不均一,并且松弛,从这个层面可以看到它的下止点信号增高,缺乏正常的韧带形态特点,所以考虑后交叉韧带断裂。

微信扫一扫
关注该公众号
影像病例【3】




后交叉韧带断裂
从此片可以看出后交叉韧带连续性中断,松弛,增粗,下止点信号增高比较明显,从这个角度看后交叉韧带上止点信号较为正常,但下止点信号明显增高,缺乏韧带止点应有的形态,从这个层面看下止点信号增高,从这个层面看韧带是增粗的,整体信号增高,质地不均一,并且松弛,从这个层面可以看到它的下止点信号增高,缺乏正常的韧带形态特点,所以考虑后交叉韧带断裂。

微信扫一扫
关注该公众号
Copyright © 2018-2022 苏州朗润医疗系统有限公司 版权所有 苏ICP备16058557号-4 技术支持:苏州网站建设